Tomografia komputerowa CBCT – Gdynia
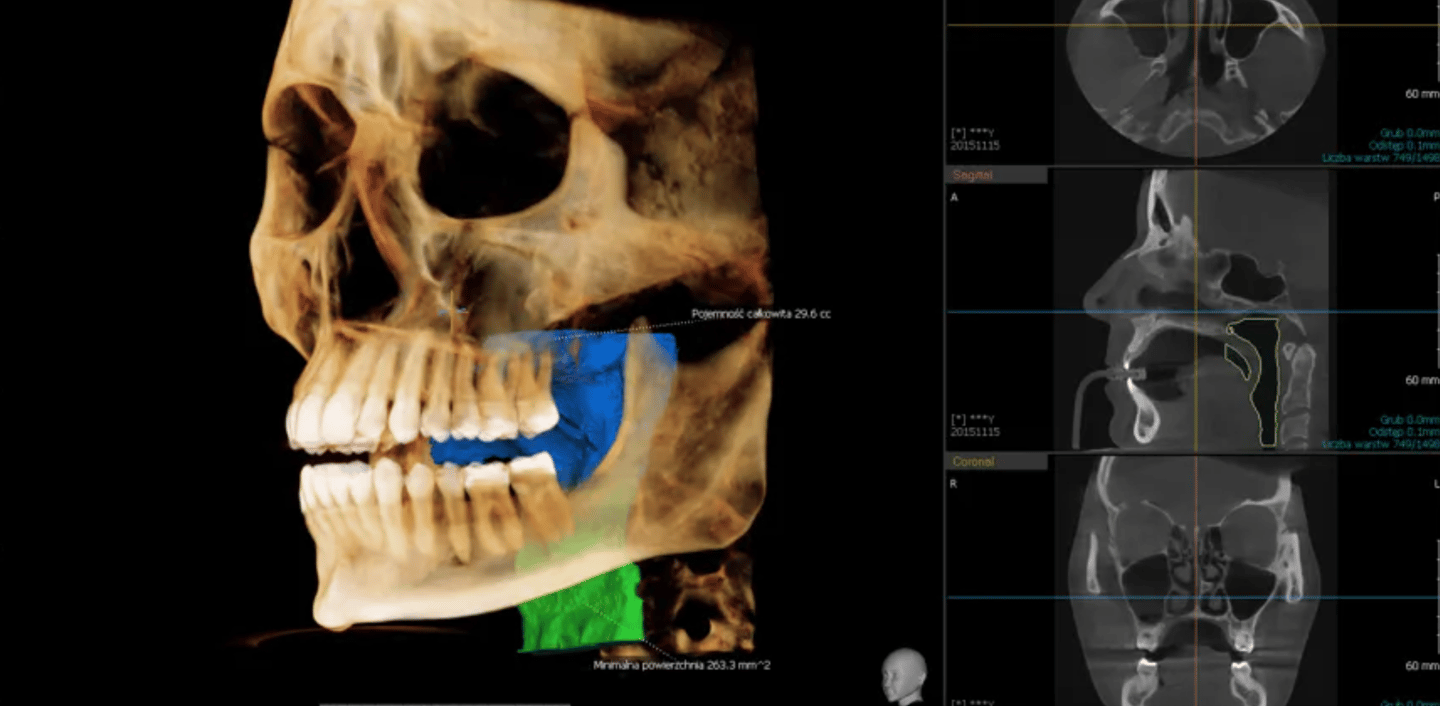
Tomografia komputerowa CBCT (Cone Beam Computed Tomography) to nowoczesne badanie diagnostyczne w stomatologii, które pozwala uzyskać trójwymiarowy obraz jamy ustnej. Badanie dokładnie ukazuje struktury kostne, zęby, zatoki przynosowe oraz tkanki miękkie, wspierając precyzyjną diagnostykę i planowanie leczenia.
W naszej pracowni RTG stomatologicznego w Gdyni wykonujemy tomografię CBCT 3D, która jest niezbędna przy planowaniu zabiegów implantologicznych, ocenie jakości i ilości kości, diagnostyce zmian patologicznych oraz przygotowaniu do zabiegów chirurgicznych i ortodontycznych.
Do wykonania badania wymagane jest skierowanie lekarskie. Wyjątkiem jest RTG punktowe, które ze względu na niską dawkę promieniowania i krótki czas naświetlania nie wymaga skierowania. Honorujemy skierowania wystawione na dowolnym formularzu z podpisem i pieczęcią lekarza. Kobiety w ciąży prosimy o poinformowanie technika przed badaniem.


+48 500 615 512
© 2025 Stopczyk. All rights reserved.
Kontakt :


