RTG punktowe – Gdynia
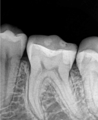
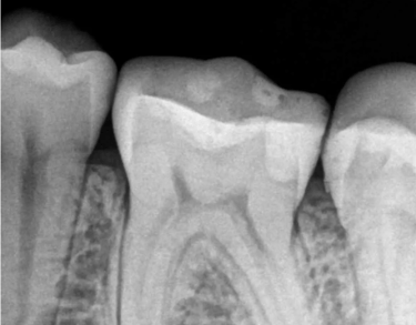
RTG punktowe to jedno z podstawowych badań radiologicznych w stomatologii, umożliwiające dokładną ocenę pojedynczego zęba oraz otaczających go struktur. Badanie pozwala wykryć próchnicę, ocenić stan korzeni, kanałów zębowych oraz tkanek okołowierzchołkowych.
W naszej pracowni RTG stomatologicznego w Gdyni wykonujemy zdjęcia punktowe, które stanowią niezastąpione wsparcie w leczeniu kanałowym, diagnostyce stanów zapalnych i urazów zębów. Badanie jest szybkie, bezpieczne i precyzyjne, zapewniając lekarzowi pełne informacje potrzebne do skutecznego planowania leczenia.


+48 500 615 512
© 2025 Stopczyk. All rights reserved.
Kontakt :


