RTG panoramiczne (pantomogram) – Gdynia
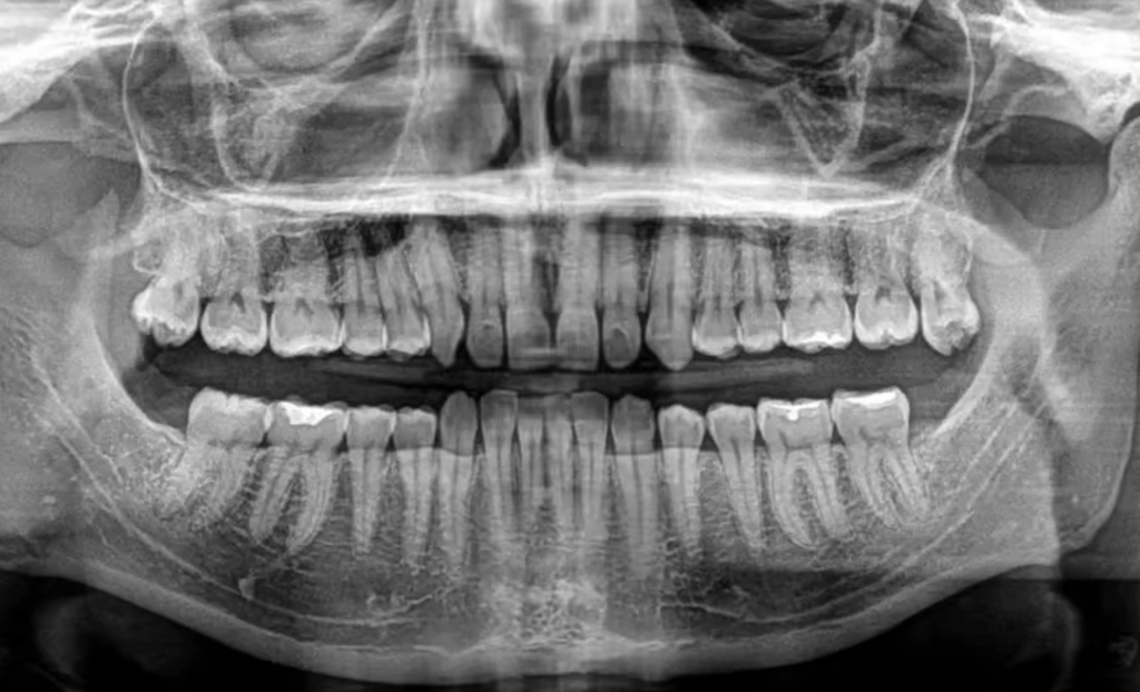
Zdjęcie pantomograficzne, znane również jako RTG panoramiczne, to jedno z najczęściej wykonywanych badań stomatologicznych. Umożliwia uzyskanie pełnego obrazu wszystkich zębów, kości szczęki i żuchwy oraz stawów skroniowo-żuchwowych w jednym ujęciu.
W naszej pracowni RTG stomatologicznego w Gdyni wykonujemy zdjęcia panoramiczne, które stanowią podstawę diagnostyki przed rozpoczęciem leczenia zachowawczego, chirurgicznego czy ortodontycznego. Badanie pozwala ocenić ogólny stan uzębienia, wykryć próchnicę, stany zapalne, torbiele czy inne nieprawidłowości w obrębie jamy ustnej.
RTG panoramiczne to szybka, bezbolesna i bezpieczna metoda diagnostyczna, która dostarcza lekarzowi pełnych informacji niezbędnych do zaplanowania skutecznego leczenia stomatologicznego.


+48 500 615 512
© 2025 Stopczyk. All rights reserved.
Kontakt :


